您的位置: 首页 > 医院科室导航 > 本部 > 医技系统 > 超声科 > 科室动态
发布人:超级管理员 来源:本站 发布日期:2026/2/3 浏览次数:
秋冬是儿童肺炎等肺部疾病高发期。近日,我院已开通肺部超声检查服务,为家长们提供了绿色、精准、高效的肺部检查新选择。

新生儿超声检查中
超声医学科主任黄永介绍,在儿科领域,肺部超声相较于成人检查更具独特优势。新生儿的胸廓呈桶状,肋骨水平走向,肋间间隙较宽;儿童的肋骨钙化不完全,肺组织含气量较少,肺间质相对丰富。这些优势使得肺组织更易被超声波穿透,从而获得较为清晰的超声图像。

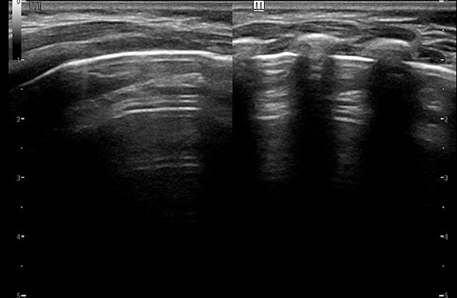
正常肺超声图
“肺部超声无辐射,适合需要反复检查的儿童,尤其是新生儿和婴幼儿,避免了辐射暴露带来的潜在风险。”黄永说,其操作便捷灵活,可在床旁快速进行,无需搬运患儿,这对于病情危重、无法配合移动的孩子来说尤为重要。

肺变实超声图
值得一提的是,超声医学科的医护人员还贴心地加热了检查需要用到的耦合剂,无刺激不伤肤、更减轻患儿不适,用专业的技术和满满的爱心为秋冬儿童呼吸健康筑牢安全防线。
科室链接
重庆大学附属江津医院超声医学科成立于1986年,是国家级住院医师规范化培训基地、国家儿童区域医疗中心西南儿科影像专科联盟理事单位、“千县工程”县域医院超声医学中心、重庆市产前超声AI质控基地。
科室现有医护人员46名,其中,主任医师1名、副主任医师6名。科室开设腹部泌尿、妇产科、心血管、浅表器官、儿科、介入等多个亚专业组,在超声造影、经食道超声心动图、肌骨超声、盆底超声、新生儿颅脑超声、小儿肺超声、经颅脑黑质超声、介入超声等方面特色突出。
科室地址:医院本部门诊部三楼
咨询电话:023-47225343
专家简介
黄永,中共党员,主任医师,超声科主任、党支部书记。担任中国超声医学工程学会肌肉骨骼超声专业委员会委员,中国医师协会介入医师分会超声介入专家工作组妇科介入学组委员,重庆超声医学工程学会常务理事、产前超声专业委员会副主任委员等多个学术职务。擅长心血管、妇产及介入超声诊断,在超声常见病、多发病的诊断及疑难病例的鉴别诊断等方面有丰富的经验。开展新技术10余项,主持、参与各级科研项目9项,发表论文10余篇,参编论著1部,获实用新型专利1项。
刘兴钊,中共党员,超声科副主任医师,硕士研究生学历,在读博士,江津区医学影像(超声专业)质控中心专家组成员。担任中国超声医学工程学会儿科专业委员青年委员、重庆市医学会超声医学分会心脏学组成员等多个学术职务。擅长心血管,浅表器官超声诊断。在超声常见病、多发病的诊断及疑难病例的鉴别诊断等方面有丰富的经验。主持各级科研项目5项,主持、参与开展新技术新业务9项,发表论文10余篇
胡青茂,中共党员,超声科副主任医师,津区医学影像(超声专业)质控中心专家组成员。担任重庆超声医学工程学会超声造影与介入超声专业委员会委员、重庆市医药生物技术协会超声医学专业委员会委员等多个学术职务。擅长腹部泌尿、浅表器官、介入超声诊断,尤其在超声造影、超声介入等方面有丰富的经验。主持、参与开展10余项新技术,参与各级科研项目3项。
黄蕊,中共党员,超声科副主任医师。擅长心血管及浅表器官超声诊断,在腹部、心脏、血管、甲状腺、乳腺及各类浅表器官超声诊断方面有丰富的临床经验。参与各级科研项目5项,参与开展新技术6项,发表学术论文4篇。担任国家住院医师规范化培训超声医学科专业基地责任导师,承担西南医科大学、重庆医高专等多所院校实习生及规培生、地方进修生教学任务。
黎银春,中共党员,超声科副主任医,中国超声医学工程学会青年委员、江津区医学影像(超声专业)质控中心专家组成员。擅长妇产、小儿超声诊断,尤其在胎儿产前系统超声、输卵管超声造影技术,小儿超声方面有丰富的经验。主持开展新技术3项,担任国家住院医师规范化培训超声医学科专业基地责任导师,承担西南医科大学、重庆医高专等多所院校实习生、规培及进修生临床带教工作。
漆秀英,超声科副主任医师,擅长腹部泌尿、心血管、浅表器官、肌骨超声诊断。在超声常见病、多发病的诊断及疑难病例的鉴别诊断等方面有丰富的经验。参与开展新技术5项,参与各级各类课题2项,发表学术论文6篇,授权超声实用新型专利5项。担任国家住院医师规范化培训超声医学科专业基地指导老师,承担西南医科大学、重庆医药高等专科学校等多所院校实习生及规培生、地方进修生教学任务。
杨建,中共党员,超声科副主任医。擅长腹部泌尿、心血管、浅表器官超声诊断,在超声常见病、多发病的诊断及疑难病例的鉴别诊断等方面有丰富的经验。参加省部级科研项目1项,参与开展新技术9项,发表学术论文2篇。担任国家住院医师规范化培训超声医学科专业基地责任导师,承担西南医科大学、重庆医高专等多所院校实习生及规培生、地方进修生教学任务。